4DBlog
NEW SOFTWARE RELEASE AVAILABLE !
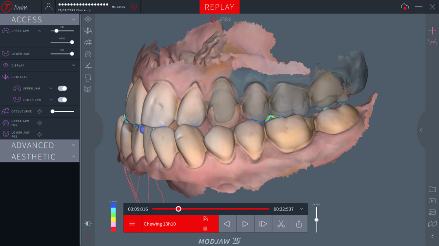
MODJAW users, update your TWIM software and see what's new !
SCAN STRATEGY IN PRE-OP SITUATIONS - EP.1 THE DICOM
In this series of episodes, explore how MODJAW can revolutionize workflows, simplifying even the most intricate cases
CBCT DATA INTEGRATION
"TWIM™ software offers the possibility of integrating this data and building a dynamic virtual patient using patient specific motion"
FACESCAN INTEGRATION
"Among the latest digital tools, the facescan has made a name for itself !
In the case of global and aesthetic restorations, this new tool allows to adapt the prosthetic project to the patient's physiognomy.
How can the facescan be used in the 3D/4D workflow, and what possibilities does this new data offer? Follow us through this step-by-step.
3SHAPE UNITE + MODJAW - digital workflow
The acquisition of static and dynamic data in the dental practice has created a need to transfer these same data in a fluid, secure way, without any loss of information.
Discover the latest 3Shape and MODJAW integration for 3D (digital impressions) and 4D (mandibular kinematics) data acquisition and to build a dynamic virtual patient in 2 key steps
3SHAPE UNITE + MODJAW - Preparations case
In the case of prosthetic restorations requiring preparation, the digital workflow consists of an initial scan and a post-preparation scan.
Discover the 3D/4D protocol for building a complete dynamic virtual patient, ready to be sent to the laboratory.







