4DBlog
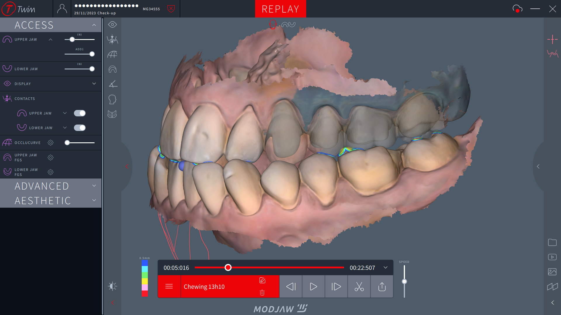
Nouvelle version TWIM disponible !
Utilisateurs MODJAW, Mettez à jour votre logiciel TWIM et écouvrez les nouveautés !
Stratégies de scan en pré-opératoire - EP.1 DICOM
Dans cette série d'épisodes, découvrez comment MODJAW peut révolutionner les flux de travail, simplifiant même les cas les plus complexes
INTÉGRATION DES DONNÉES DU CBCT
"Le logiciel TWIM™ offre la possibilité d’intégrer cette donnée afin de construire un patient virtuel dynamique avec les données spécifiques du patient"
L’INTÉGRATION DU FACESCAN
"Parmi les nouveaux outils du flux numérique, le facescan a une place de choix !
Dans le cas des réhabilitations globales et esthétiques, cette nouvelle donnée permet en effet d’adapter le projet prothétique à la physionomie du patient.
Comment utiliser le facescan dans le flux 3D/4D et quelles possibilités offertes par cette nouvelle donnée ? Suivez-nous pas à pas dans le cas d’une réhabilitation
3SHAPE UNITE + MODJAW - UN FLUX SIMPLIFIé
L’acquisition des données statiques et dynamiques au cabinet font naître un besoin de transfert de ces mêmes données, d’une manière fluide, sécurisée et sans perte d'information.
Découvrez la dernière intégration 3Shape et MODJAW pour une acquisition des données 3D (empreintes numériques) et 4D (cinématique mandibulaire) du patient et la construction d'un jumeau numérique dynamique en 2 étapes clés
3SHAPE UNITE + MODJAW - Cas avec préparations
Dans le cas de restaurations prothétiques nécessitant des préparations, le flux numérique est composé d’un scan initial et d’un scan post-préparation.
Découvrez le protocole 3D/4D pour construire un jumeau numérique dynamique complet, prêt à être envoyé au laboratoire.







