Occlucurve™, la courbe occlusale 2.0

"Lorsque je veux montrer à mon prothésiste que mon patient a un plan d’occlusion incliné, je génère la courbe occlusale de mon patient dans TWIM. Une fois la courbe générée puis corrigée, je peux la transférer au laboratoire en tant que fichier STL. Cette courbe va guider l’équilibration occlusale du patient, que mon prothésiste réalise désormais de manière numérique.“
SITUATION CLINIQUE - déséquilibre du sourire
Comment mettre en évidence et traiter un déséquilibre du sourire dans un flux numérique ?
A l’heure du digital, l’ensemble des informations du patient peut se résumer en la constitution d’un jumeau numérique à l'aide des données 2D, 3D et désormais 4D. La construction du jumeau numérique dynamique permet aussi bien au praticien qu’au prothésiste de traiter le patient avec des données objectives.
En plus de toutes ces données patient, découvrez « Occlucurve », une fonctionnalité proposée par le logiciel TWIM™ qui génère la courbe occlusale du patient pour faciliter la prise de décision côté clinique et guider le travail côté laboratoire.
La courbe occlusale, c’est quoi ?
La courbe occlusale est la combinaison de 2 références, la courbe de Spee et la courbe de Wilson.
Dans la littérature, ces 2 références sont utilisées pour positionner les dents avec le plan occlusal incliné en antéropostérieur par rapport au plan axio-orbitaire, pour obtenir un rapprochement homogène de la table occlusale et l'absence d'interférence postérieure en définissant l'inclinaison des bords des dents multi-cuspidées dans le plan frontal.
La courbe occlusale combinée au positionnement des condyles permet l'affichage de la sphère de Monson.
Le logiciel TWIM™ génère ces données individualisées en quelques clics.

Modélisation de la sphère de Monson individualisée
L’intérêt de la courbe occlusale au sein du jumeau numérique dynamique
Une fois l’acquisition des données réalisée, le praticien peut travailler sur le jumeau numérique dynamique du patient et préparer les données à envoyer au prothésiste dentaire. C’est à cette étape de planification du traitement, que le praticien prend des décisions cliniques et communique avec le laboratoire pour la réalisation d’un traitement prédictible et reproductible.
La courbe occlusale a 2 intérêts majeurs :
- Pour le dentiste, elle met en évidence le plan d’occlusion du patient et devient une donnée objective qu'il est possible de transférer
- Pour le prothésiste dentaire, elle est un guide, fournie par le patient lui-même

Courbe occlusale individualisée
Que ce soit pour une équilibration occlusale ou pour des réhabilitations partielles et globales, la courbe occlusale générée dans TWIM™ est un allié aussi bien en clinique qu’au laboratoire. Découvrez son utilisation à travers un cas clinique.
IDENTIFIER ET TRAITER
Situation initiale
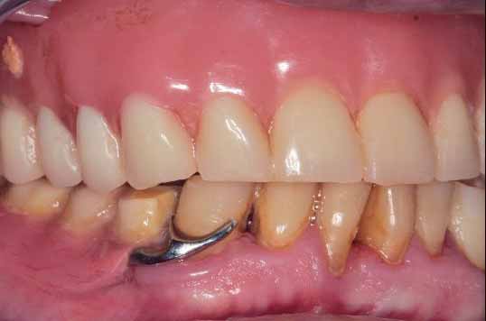
Voici le patient X, âgé de 62 ans. Son motif de consultation est un souci d'instabilité de sa prothèse maxillaire et un déséquilibre dans son sourire. Une analyse visuelle ainsi que la prise de photos confirment une dysharmonie du sourire.

Photo patient lors de la première consultation

Décalage de l’axe médian et plan d’occlusion nettement incliné à droite.

Vue en OIM

Vue en OIM
Générer la courbe occlusale
L’utilisation de la fonctionnalité se fait en 2 étapes
- Génération de la courbe occlusale : en quelques clics, le logiciel TWIM génère le plan d’occlusion du patient. En fonction de la situation clinique, celle-ci sera donc plus ou moins inclinée.

- Correction de la courbe occlusale : on peut jouer avec les curseurs et générer une courbe qui servira alors de guide au prothésiste lors du dessin digital

Intégrer dans le design
Le prothésiste reçoit l’ensemble des données acquises par le praticien. La courbe occlusale est un fichier STL avec les coordonnées et la position affichée au moment de l’export de la consultation TWIM™

Courbe occlusale corrigée, objectivant la future zone de confrontation des arcades dentaires

Courbe occlusale importée au format STL dans le logiciel de design
"La courbe occlusale est une information sur laquelle on s’appuie pour aller à l’essentiel et avoir plus de temps pour se concentrer sur l’aspect esthétique. C’est quelque chose qu’on attendait depuis longtemps et qui diminue la partie aléatoire de notre travail."
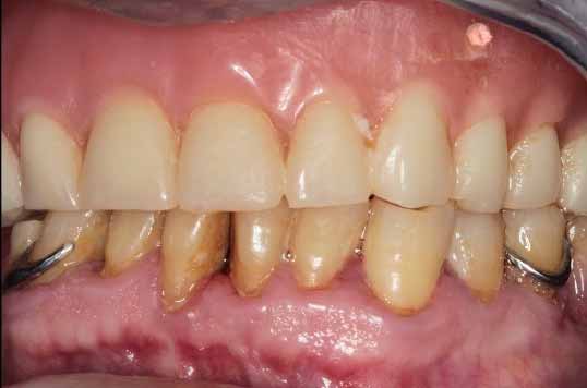
Situation finale
La correction du plan d’occlusion a eu un impact sur l’équilibre du sourire. Le patient retrouve un sourire harmonieux et une occlusion équilibrée.

Photo post traitement, vue de face

Photo post traitement, vue de profil